Corozal Dental Office LLC

Conoce los Servicios que Ofrecemos

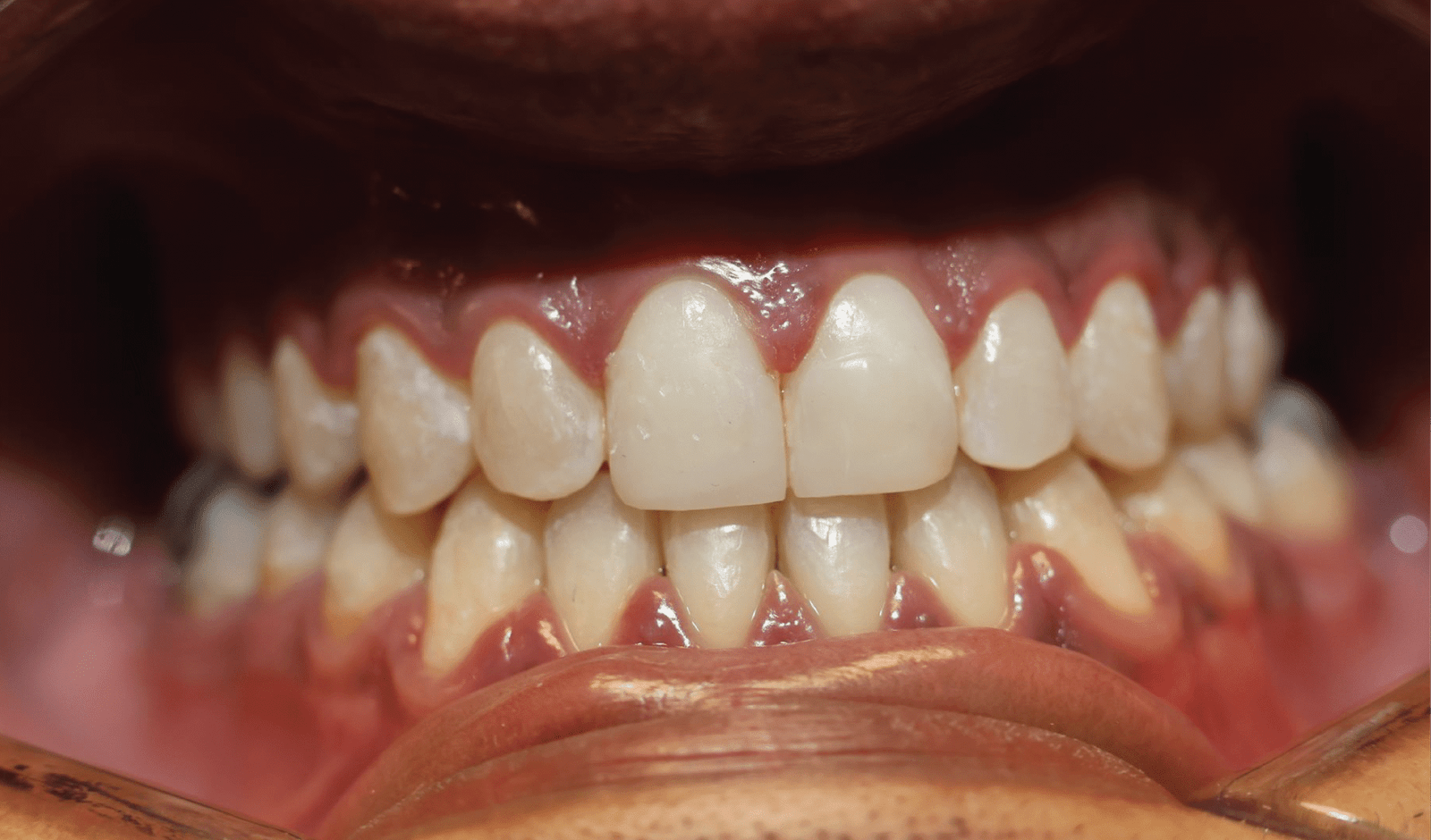
Odontología General

Tratamientos básicos y preventivos para mantener tu salud oral en óptimas condiciones.

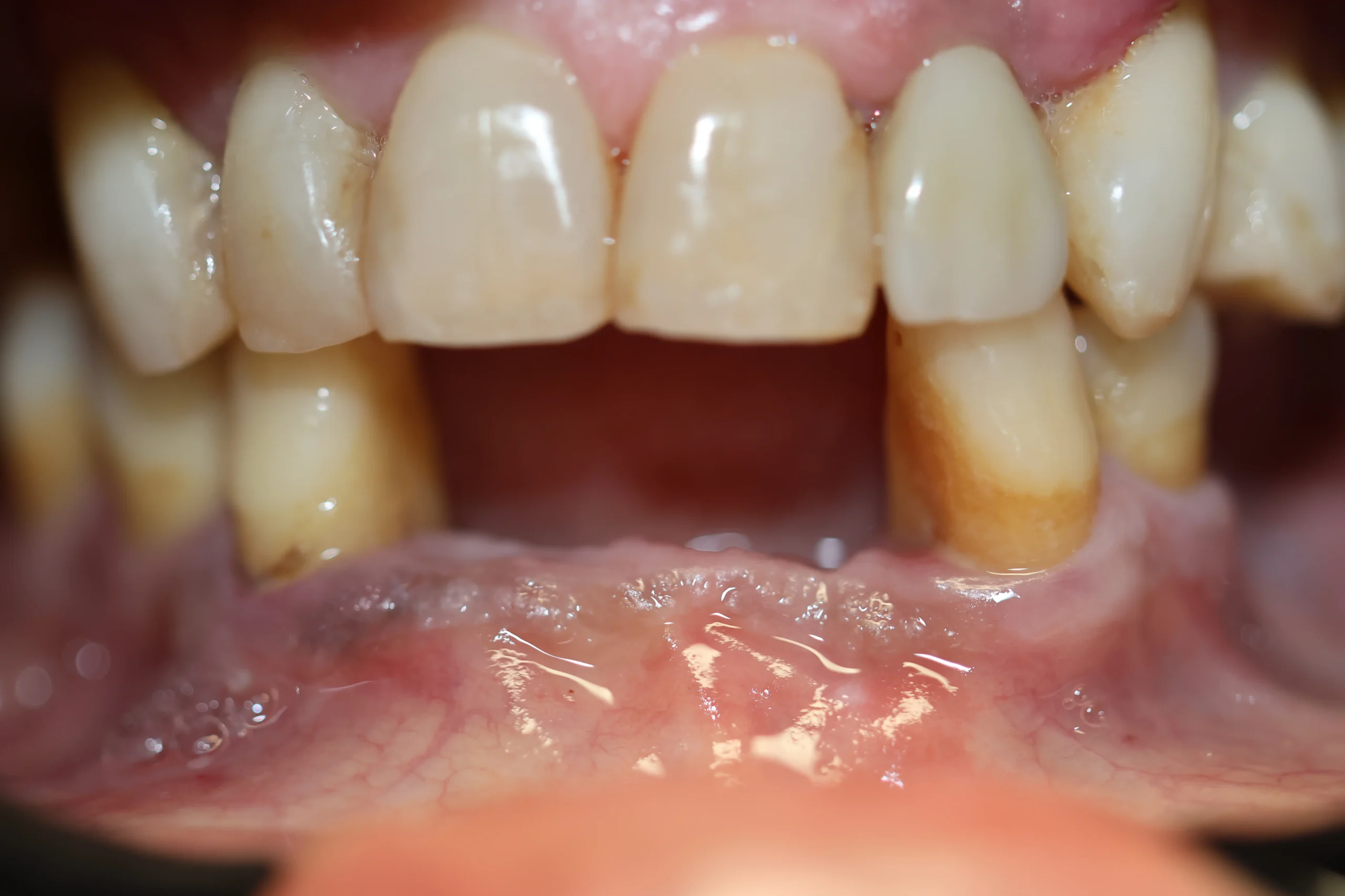
Implantes Dentales

Solución duradera y estética para reemplazar dientes perdidos con resultados naturales.

Ortodoncia (Brackets y Alineadores)

Corrige la posición de tus dientes con opciones modernas y discretas.

Limpiezas Dentales

Previene caries, mal aliento y problemas de encías con limpiezas profesionales periódicas.

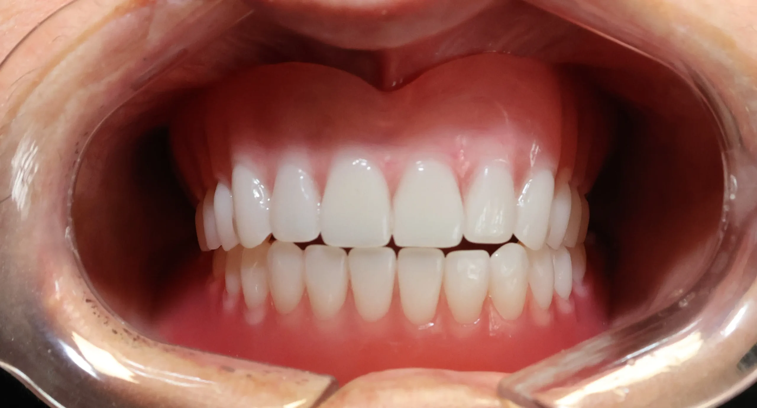
Puentes Fijos y Coronas

Restaura la funcionalidad y estética de tu dentadura con soluciones resistentes y de larga duración.

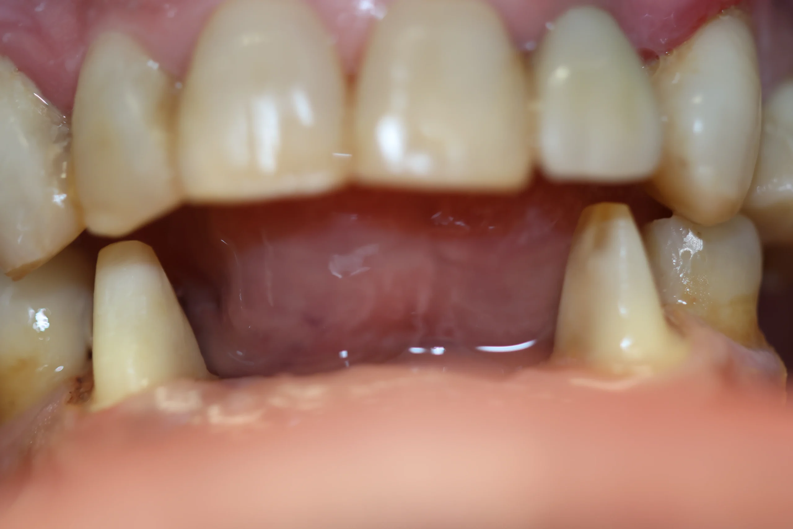
Reconstrucción Oral

Tratamientos completos para recuperar tu sonrisa y mejorar tu calidad de vida.